|
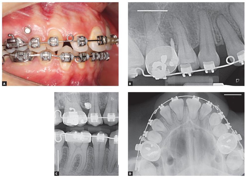
Temporary Anchorage Devices (TADs) have transformed orthodontic treatment by providing absolute anchorage without relying on patient compliance. While traditional methods like headgear or interarch elastics can be effective, TADs offer superior precision and efficiency in specific clinical scenarios. One of the most common applications is molar distalization, where TADs enable controlled, predictable movement without the need for bulky appliances or patient cooperation. Unlike headgear, which depends on consistent wear, TADs ensure continuous force application, making them ideal for non-compliant patients or cases requiring unilateral correction.
Another key scenario where TADs excel is intrusion of overerupted molars or anterior teeth. Traditional mechanics often struggle with intrusive movements due to reactive forces that can cause unwanted tooth displacement. With TADs, orthodontists can apply direct intrusive forces without reciprocal effects, achieving efficient and stable results. This is particularly valuable in open bite corrections or pre-restorative cases where precise tooth positioning is critical. Additionally, TADs simplify orthodontic camouflage treatment for skeletal discrepancies by allowing controlled tooth movement without surgical intervention, making them a game-changer for borderline surgical cases.
|